A residual cavity in this man's knee after failed surgery for osteochondritis dissecans is treated with a paste graft.
First published 2010 by Dr Kevin R Stone, and reviewed August 2023 by Dr Sheila Strover (Clinical Editor)
Treatment of failed Osteochondritis Dissecans repair by Articular Cartilage Paste Grafting
A residual cavity in this man's knee after failed surgery for osteochondritis dissecans is treated with a paste graft.
First published 2010 by Dr Kevin R Stone, and reviewed August 2023 by Dr Sheila Strover (Clinical Editor)
He began experiencing pain in junior high, and by his junior year of high school he had to hold on to walls to walk. On investigation he was found to have an osteochondral defect (damage to the articular cartilage) due to osteochondritis dissecans (OCD). Osteochondritis dissecans is a disease of youth where there is a mal-formation of the sub-chondral bone (bone just under the articular cartilage) leading to loosening of the articular cartilage. When this occurs in the very young - under 10 years old - they normally will heal on their own over the course of a year. When it occurs over 10 years old and in the teenage years then they often do not heal and lead to chronic knee pain requiring surgical treatment.
At age 17 he had open reduction internal fixation of an articular cartilage bone fragment using two metal screws, and at age 20, he returned to the OR for a tightening of the screws. At age 25, he underwent a third surgery to remove the screws due to the osteochondral fragment having gone to a complete non-union, and fracturing about the screws, and it was at this stage that he was referred to me.
So ten days after screw removal I brought him into surgery for paste graft of the OCD lesion which was now 35mm x 40mm .


Nine months later, the patient was brought back into surgery for a second-look arthroscopy and biopsy. It was noted (photo on the left) that the OCD lesion had healed in with a full fibrous covering and a firm bony substance around the entire periphery of the lesion. The central area (6mm x 6mm) was very soft (photo on right) and upon probing revealed a cavity beneath it. An additional articular cartilage paste graft was performed on this central aspect.

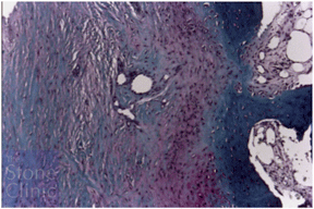
The biopsy material, a section of which you can see on the right, stained and at magnification, demonstrates hypertrophic healing (healing with overgrowth) with fibrous tissue overlying articular cartilage matrix. Most importantly, the tide mark is restored (where the blue colour abuts the purple colour).
Eleven months post original articular cartilage paste graft, the patient called the clinic, with complaints of swelling, pain while walking, and occasional catching. He was brought into the OR for arthroscopic evaluation. There was a small area of calcification in the central aspect of the lesion which was gently debrided. A small area of instability at the inner margin of the graft was treated with gentle chondroplasty.
At seven years postoperative, patient returned for physical evaluation of his knee, with complaints of pain, swelling, weakness, instability, and clicking starting several months previous. Physical examination revealed an evident loose body in the medial aspect of the joint. MRI review revealed his OCD lesion with degenerative changes, with fairly thick regenerate of fibrocartilage over the lesion. A track of fluid was noted in one area. In light of these findings, the patient was brought into surgery for arthroscopic evaluation and removal of the loose body. The trochlea had a grade 4 lesion measuring 12 to 15mm with loose flaps of articular cartilage. Microfracture was performed in the area, with removal of the flaps. There was a flap of healed articular cartilage on the site of the paste graft which had significant chondrocalcinosis on its base. This was debrided. The lesion had well-adhered fibrous tissue in the central aspect, however the periphery was able to be sloughed off of the probe, and therefore a chondroplasty was performed at the edges followed by microfracture to create a bleeding bed.

At ten years post original procedure, patient states that he is doing very well and has returned to running, biking, and swimming. He does not have any complaints or problems. He does not have any knee pain. Physical examination is notable for full range of motion. He has a slight click in the medial compartment and a palpable medial ridge consistent with an osteophyte. Review of the MRI documented a healed over OCD area which is irregular but has a fibrous cover. The patient is participating in biathlons and triathlons. He reports no pain and ran 28 miles in the 2 days prior to his follow up visit.
In doing biologic knee reconstructions the conversation with the patient has to be explaining the difference between doing a metal and plastic knee where the device works on day 1 and the requirement for further tune-ups is usually fairly low until the device fails. Versus a biologic intervention where there is enormous variability in how the body heals, the rate of healing and the rate of maturation of the biologic tissues. When doing a primary biologic repair there is a fairly steady pathway of tissue healing, and we counsel the patients that by one month the tissues are reasonably smooth but not durable. By three to four months, the tissues are reasonably durable and can take most activities but not usually impact, and by one year the tissues are reasonably mature. However, the patients often notice improvements over two to three years.
When doing revision biologic reconstructions, salvaging a previous biologic repair that failed, such as in this case where there was a Herbert screw fixation of a large osteochondral defect one is required to create healing in both the [subchondral bone and the tide mark in the overlying articular cartilage]. In order to do that you have to create an enormous fracture bed because the larger the healing response the better the healing. The larger the impact, the better the healing. However that healing can sometimes be uncontrolled and often there is hypertrophy so when doing a paste graft we never fill the defect as we know that during the healing response the body will create hypertrophic tissue.
Unfortunately when that occurs the most common complication the patient might notice is catching or a painful site from incomplete healing and therefore we counsel the patients that especially with revision biologic reconstruction there is a high likelihood for further surgical intervention over the years in order to maintain the biologic repair.
This patient demonstrates one of the more extreme examples of the requirement for multiple further procedures in order to optimise the outcome. The procedures are usually fairly minor such as trimming of hypertrophic tissue, or sometimes a re-grafting of an incompletely healed area. This patient demonstrates however that if the patient is diligent about treating these problems early on and the surgeon is aggressive enough to undertake continual treatment of the patient then the outcomes can be extraordinarily good – such as this patient has gone on to run multiple events successfully years after his salvage procedure.
So I believe that when undertaking biologic repair, the surgeon and the patient and the rehab team all need to be on the same page – that this is a healing process not necessarily a healed event on day one.