
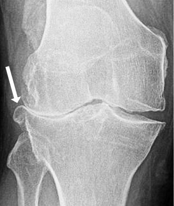
Osteophyte in an osteoarthritic knee.
An osteophyte (bone spur) is a small, irregular bony outgrowth from a joint surface, usually seen in relation to osteoarthritis. Page updated February 2024 by Dr Sheila Strover (Clinical Editor)

Osteophyte in an osteoarthritic knee.
Bone is in constant flux, with bone being broken down in some areas and generated in others. Sometimes an imbalance forms and a spur of excess bone develops at an edge. This is called an 'osteophyte' or 'bone mushroom'. Large osteophytes are associated with knee pain and osteoarthritis progression. Small ones in younger patients seem to be transient.
Peer-reviewed paperQuote from peer-reviewed paper:
Citation: De Kanter JLM, Oei EHG, Schiphof D, Van Meer BL, Van Middelkoop M, Reijman M, Bierma-Zeinstra SMA, Runhaar J, Van der Heijden RA. Prevalence of small osteophytes on knee MRI in several large clinical and population-based studies of various age groups and OA risk factors. Osteoarthr Cartil Open. 2021 Jun 6;3(3):100187. doi: 10.1016/j.ocarto.2021.100187. PMID: 36474813; PMCID: PMC9718283.
In bones that are under mechanical stress, such as in osteoarthritis, larger osteophytes may be triggered, again at the lip of the joint.
Peer-reviewed paperQuote from peer-reviewed paper:
Citation: Heidari B. Knee osteoarthritis prevalence, risk factors, pathogenesis and features: Part I. Caspian J Intern Med. 2011 Spring;2(2):205-12. PMID: 24024017; PMCID: PMC3766936.