Defining the various types of osteotomy relating to the knee.
First published 2008, and reviewed August 2023 by Dr Sheila Strover (Clinical Editor)
What is a knee osteotomy?
Defining the various types of osteotomy relating to the knee. Part of a course on knee osteotomy.
First published 2008, and reviewed August 2023 by Dr Sheila Strover (Clinical Editor)
Such an osteotomy is called a realignment osteotomy.
The procedure of osteotomy used to be somewhat less of an exact science than it is at present. It involved relatively unsophisticated instrumentation, as well as the use of fairly weak surgical fixation devices (plates and staples). These devices were used to fix the bone in the new, realigned, position, but they were not strong enough to allow the patients to mobilise normally following the surgery. The relatively weak fixation meant that patients had their legs placed into plaster casts following the surgery for at least 6 weeks. This meant that the knees stiffened up and the results of the surgery were less than optimal. In addition, the correction required to achieve realignment was often quite crudely calculated, sometimes by no more than eye-balling the lower leg during the operation.
Nowadays the surgery is very carefully planned, down to the last degree and the last millimetre, using specialist X-rays, specialist digital software and then using special instrumentation in the operating theatre to achieve very accurate results, which is then held totally rigidly with a revolutionary plate which was introduced by Alex Staubli 8 to 10 years ago. This plate permits immediate weight bearing and has eliminated the use of plaster casts.


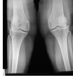
Of the realignment osteotomies around the knee 80% consist of high tibial osteotomy (also known as proximal tibial osteotomy, opening wedge, or valg-ising osteotomy) for varus osteoarthritis where the knee is abnormally bow-legged like in the gentleman below. In a high tibial osteotomy (HTO) the bone cut is at the upper ('high' or 'proximal') end of the tibia bone (shin bone).


15% are distal femoral osteotomy (also known as var-ising osteotomy) for valgus osteoarthritis where the knee is abnormally knock-kneed like in the lady below. In this case the bone cut is at the lower ('distal') end of the femur (thigh bone).
5% are for procedures like tibial tubercle transfer procedures or trochleoplasties on the femur for people with patellar (kneecap) instability where there is an underlying anatomical abnormality.
In tibial tubercle transfer patients, the tendon from the patella down onto the tibia where it inserts – called the tibial tubercle – is in a bad anatomical position and is too far to the outside (or lateral side) of the knee. This tends to pull the kneecap off to the side which causes pain, and sometimes instability. One can realign the kneecap by doing a tibial tubercle transfer and moving the patellar tendon together with a block of bone more centrally, to a better anatomical position. We usually shift it by approximately a centimetre – we are scientific about it but generally speaking we cut the tibial tubercle with the tendon attached to the bone and we move the bone approximately a centimetre.
Tibial tubercle transfer is a relatively straightforward operation and takes about 40 minutes. The bone is fixed with two small screws which we sometimes later go on to remove. The procedure has all sorts of eponymous names like Fulkerson, Elmslie-Trillat, named after the surgeons who developed the procedurees. These two are the main distal realignment procedures for patellar instability where you are moving the tibial tubercle from a lateral position to a more medial position on the tibia which is the lower or 'distal' bone of the knee joint.
The new cutting edge operation for patellar instability is a trochleoplasty. This operation is designed for patients who unfortunately have a flat end to the femur where the kneecap sits – instead of having a 'V' shaped groove in which the kneecap sits centrally, the end of the femur is flat and therefore the patella is rendered unstable. In some cases it is even a bump, so the kneecap tends to skid off the bump and move laterally. In those patients performing a trochleoplasty creates a new trochlear groove, thereby allowing the patella a more stable articulation. A trochleoplasty is a proximal realignment procedure because it is performed on the femur which is the upper or 'proximal' bone of the knee joint. And that is obviously a whole new topic that we can talk about in terms of patellar instability and I will cover this in part 3 of this course.
Then there is a very small percentage of patients who are going to have an osteotomy to derotate the knee. This procedure is most commonly performed where a person has had a break and has gone on to have a mal-union - in other words the bone has united in a bad position. They usually present to their surgeon with a knee that has become arthritic, and as part of their knee replacement surgery, one sometimes needs to derotate the femur to actually realign it to put the knee replacement in properly. Sometimes we just ignore the deformity and just navigate around it.
Very occasionally, we are presented with a patient who has a very complex rotational profile abnormality - usually either via a growth disturbance where the person has had some injury to the growth plate as a child, or there is a developmental problem, or the patient has had a fracture later on in life - and the surgeon needs to derotate the femur and perhaps realign it in the proper plane via a complex three dimensional osteotomy. This type of procedure is extremely rarely done.