Knee osteotomy uses mathematical measurements to obtain the optimum correction.
First published 2010, and reviewed August 2023 by Dr Sheila Strover (Clinical Editor)
Key concepts in knee osteotomy
Knee osteotomy uses mathematical measurements to obtain the optimum correction. Part of a course by Professor Adrian Wilson.
First published 2010, and reviewed August 2023 by Dr Sheila Strover (Clinical Editor)
These include -

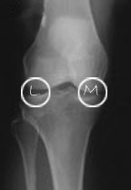
Knee surgeons refer to three main compartments within the knee - the medial compartment ('M') which is the inner side of the knee joint, the lateral compartment ('L') which is the outer side of the knee joint and the patellofemoral compartment. The latter compartment is the area between the knee-cap and the V shaped groove it sits in at the bottom of the thigh bone/femur. On the X-ray the lateral side is easy to identify because the thin fibula bone is always on the lateral side, next to the bigger shin bone (tibia).
It’s very much a conceptual thing that we have these three separate areas – it makes it very useful to think of the knee in three separate parts. Of course the knee joint is really functioning as one unit, which is made up of joint cartilage that lines the ends of the bones acting as a cushion between the thigh and shinbone. As well as acting as a shock absorber the joint surface cartilage allows smooth gliding motion of the knee. To further absorb shock between the two long bones (tibia and femur) there are also half-moon shaped shock absorbers - the menisci. It is very common to injure either the joint cartilage or the meniscus or both, and if this damage is in the outer (lateral) compartment of the knee and the inner (medial) compartment of the knee is normal, then we only have to fix the damaged compartment. For example, arthritis only found in the medial compartment of the knee can be treated with an osteotomy designed to off-load that compartment and thereby relieve the pressure on that part of the knee. This will in turn transfer the pressure going through the knee into the healthy lateral compartment, thereby slowing the progression on arthritis in the medial compartment and relieving the patient's pain.
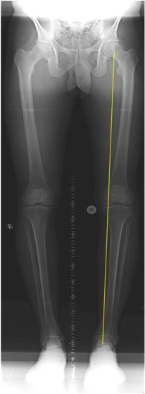
Every person's knee is aligned a certain way. Take a look at the long-leg X-ray below. If we draw a straight line from the centre of the hip to the centre of the ankle, if your leg is completely straight that line will go through the centre of your knee.

You will see on the X-ray in this normal person that the line does not actually go through the exact centre of the knee but instead it goes through the inner side of the knee. That is because most people are actually slightly varus - very very slightly bow-legged. If you say to a patient ‘You are varus. You are bow-legged”, they think they are not. They cannot understand it because when they look at themselves in a mirror they are sure they look straight. And that is right, they do look straight - the bowing is very subtle. Obviously there are extremes – you can be very bow-legged, completely straight, slightly knock-kneed or completely knock-kneed (knock-kneed is the reverse of bow-legged, and that is where the patient’s knees are coming slightly closer together and the weight-bearing line is going through the outer side of the knee).
So the key is getting you head around this idea of the weight-bearing line, which if your alignment is completely straight, will travel through the middle of the knee. But if you are slightly varus/ bow legged the weight-bearing line will pass through the inner or medial compartment of the knee, and the more bow-legged you are the more of that force will be going through the more medial position in your knee. And the reverse is true if you are knock-kneed. So if you are slightly knock-kneed that weight-bearing line will run slightly into the outer or lateral compartment of the knee, and if you are very knock-kneed it will be way over into the outer/lateral compartment of the knee. In fact if you drew the weight-bearing line it might even completely miss the lateral compartment, as is the case in that lady I showed you in the previous part of this course.
So now that you understand ‘varus’ and ‘valgus’, I can move onto the concept of ‘var-ising’ and ‘valg-ising’. The most common osteotomy that is done is a valg-ising osteotomy, and that is because more people are varus than are valgus. So if you take a population, approximately 75 percent of the population will be slightly varus and 25% of the population will be slightly valgus. Therefore more people present to the doctor with medial compartment problems such as medial knee pain and are in varus alignment. These patients are suitable for an osteotomy to offload that problem compartment. To do this we move the weight-bearing line into the good compartment - the lateral compartment - by ‘valg-ising’ the knee and making the patient go from being varus to being very slightly valgus.
Surgeons tend to describe these realignments in terms of the shift in one or both of -
If we look at the knee from the front, we are looking at it in the ‘front’ plane or the ‘coronal’ plane. If we are looking at the knee from the side, we are looking at it in the sagittal plane.
In patients that have problems with the medial compartment or the lateral compartment we want to swing that weight-bearing line like the pendulum on a clock from the damaged area to the good area. So if you’ve got problems in the medial compartment and you want to offload, then we are doing a coronal plane correction to correct the alignment in that front plane. Most osteotomies deal with that problem – 90% of the osteotomy work that we do is dealing with coronal plane problems.
Now if you want to adjust ligaments within the knee, then the sagittal plane becomes important – that is the side plane - when you look at the knee from the side. By changing the top of the tibia and tilting it either upwards to increase its slope or flattening it off to decrease its slope, we can change the tensions within the two main ligaments that stabilise frontward and backward movement of the knee. The one important ligament is the anterior cruciate ligament (ACL) and its role is two fold: to prevent the shinbone (tibia) from coming too far forward on the thigh bone (femur) and to control the rotation within the knee. The ACL is the most common ligament that we have to deal with surgically. Next there is the posterior cruciate ligament (PCL) which does the reverse – stops the shinbone from travelling too far back on the thighbone. Often people cope quite well with damage to this ligament, but when it causes the knee to be unstable, they may need to have something done about it. Surgery can either be in the form of a ligament reconstruction or, if they are very unstable, the surgeon may want to correct that with an osteotomy.
Now, most ligament operations don’t require an osteotomy, and what we don’t want our patients to think is ‘I’ve ruptured my ACL so I need to have one of these sagittal plane corrections.” What I am talking about is a the very rare individual who has early arthritis in one of their knee compartments (requiring traditional osteotomy in the coronal plane) - but they also have knee instability. So you need to address two issues - one is the pain, and the other is the instability. For cases like this one needs to think of the realignment in the two planes. So for the pain side of things, the surgeon can relieve the pain by offloading the arthritic compartment of the knee with a coronal plane osteotomy which moves the weight bearing line laterally. For the instability side of things, the surgeon can stabilise the knee by changing things in the sagittal plane and either increasing the tibial slope in someone who is PCL deficient or flattening the tibial slope in someone who is ACL deficient. And if they are very unstable this osteotomy may be combined with a simultaneous ligament reconstruction, which is a relatively straightforward thing to do.