The benefits of realignment osteotomy in reducing knee pain are to a large extent age-dependant.
First published 2010, and reviewed August 2023 by Dr Sheila Strover (Clinical Editor)
Living with painful varus and valgus deformity
The benefits of realignment osteotomy in reducing knee pain are to a large extent age-dependant. Professor Wilson explains why...
First published 2010, and reviewed August 2023 by Dr Sheila Strover (Clinical Editor)
It stops you walking any distance, it makes climbing stairs very difficult, you struggle with bending and crouching and squatting and even simple activities like going for a walk and getting into and out of a bath become very difficult.


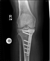
As things progress patients often develop severe night pain and when you are getting to that stage most people want to get something done about it. If lifestyle modification hasn’t worked, you have tried the anti-inflammatories, you have tried to lose weight, you’ve stopped doing impact exercises, you’ve tried your glucosamine, you’ve even gone to the trouble of buying an offloader brace and tried to offload the painful knee compartment (and they don’t tend to work very well with the braces – some people get on with them but most people struggle), then the next step for you is going to be surgery. The surgery for purely varus or valgus osteoarthritis is either an osteotomy (left image) or a knee replacement (partial knee replacement or a complete knee replacement) (right image).
Extensive research has shown that if you are 65 and over and you have arthritis in all three compartments of your knee you will do very well with a knee replacement, especially if the arthritis is severe. If you’re under 65 there is a significant chance that if you have a knee replacement you will be unhappy.
Most patients who have had a knee replacement are glad they have had the surgery. If you take a 100 people who have had a knee replacement and they are young, say under 60 around 20% will be completely happy with the results of their surgery. Then you will have 70 patients that are glad they had the surgery but they wouldn’t use the word ‘happy’ because they have ongoing pain, the knee replacement clicks, their knee swells and they get discomfort if they walk more than two or three miles. They also may have difficulty kneeling down – they are limited but they are better than they were before the surgery– so they are glad they had the surgery but they are not happy. And then you have this 10% of patients who either have a complication, and that’s two or three in every hundred, or there are seven patients who have a perfect operation, everything goes well, the X-ray looks great, the wound heals up but they have this terrible ongoing pain that is much much worse than the pain that they had before they had surgery. It’s unexplained knee pain (the younger the group of patients investigated, the lower the satisfaction rates from knee replacement surgery)
So the dissatisfaction rate is around 7-10% on average. So if you are going to have a knee replacement you have to be prepared to take a 10% chance of being much worse off than you were before you had the surgery, either because you have had a complication or you are in this 7-8% of people who just have this unexplained knee pain. And if you are young when you have your knee replacement, chances are you are going to remain active and studies show, wear out your knee replacement much sooner than a patient who had it in their 70s. The long-term survival of a knee replacement in the over 65 is 20 years+. The long term survivorship of a knee replacement in the under 60s and in particular the under 50s is much much less than that and you are probably then getting towards a ten-year survival and will probably need a re-do knee replacement at some point in the future. Although the results of revision knee replacements are good, they are not as good as first time knee surgery, as revision surgery is more complex. This all needs to be taken into account when discussing the options with your patient.
More and more now we are trying to discourage patients from having knee replacement surgery unless they really need it. We can really see osteotomy surgery becoming a very attractive and popular option in the future. Our enthusiasm for osteotomy surgery has led to us setting up an annual course in Osteotomy in Basingstoke hospital. This "Osteotomy Masterclass" is designed to teach consultants on the new surgical techniques, pre-operative planning and fixation devices. The surgeons who developed the revolutionary TOMOfix plate are invited to teach at our meeting, which is sold out as soon as it gets advertised by Synthes, the company that manufactures the plate.
More and more surgeons are learning to do osteotomies and we really believe that in the next ten years, it will become a very popular option for patients with knee arthritis in the UK. Until knee replacements can offer better patient satisfaction, many patients will try to keep their own knees for as long as possible and delay the need for knee replacement surgery. The main alternative is osteotomy of the knee. This is a highly successful procedure for dealing with knee pain / instability in the appropriately selected patient.