The angulation of a realignment osteotomy may be achieved by opening or by closing a wedge.
First published 2010, and reviewed August 2023 by Dr Sheila Strover (Clinical Editor)
Opening wedge and closing wedge osteotomy
The angulation of a realignment osteotomy may be achieved by opening or by closing a wedge. Professor Wilson explains...
First published 2010, and reviewed August 2023 by Dr Sheila Strover (Clinical Editor)
I need also to explain the osteotomy concepts of 'opening wedge' or 'closing wedge'.


An opening wedge osteotomy is where the bone is cut with a saw and then opened up with chisels to create an wedge-shaped opening.
After making the cut with a saw, gradually open up the gap in the bone by using a series of fine chisels. The photograph on the left shows the stepwise insertion of chisels, allowing the cut bone to be wedged open by an exact amount. The X-ray on the right shows that the tibia bone has been cut and wedged open (the wedged-open space shows up dark against the paler surrounding bone). The plate holds the wedge open. So this is a high tibial osteotomy with the opening-wedge technique.
The first small chisel frees the bone and gets the osteotomy mobile, and then the second chisel is introduced alongside it to gradually open up the gap to the point where we sometimes have as many as 4 or 5 chisels in the osteotomy site. This would produce a gap of about 7 mm normally but the gap can be as much as 2 cm.
Thus the bone is broken at the front and the back, but we try not to go right the way across. If the bone is broken right across, we have a very useful golden screw technique to line everything up perfectly. In the X-ray you can see a dark line just to the left of that slightly longer third screw from the top just below the osteotomy - this is a fracture where the chisels have broken through. That used to be a major problem with previous surgical techniques but now that slightly longer screw can be used as a reduction screw to pull the bone back into position again.


Once the chisels are taken out the gap in the bone would close, so you need something to open it up again. Here we use laminar spreaders (see X-ray on left) are placed in the osteotomy gap and allow us to adjust the gap correctly to whatever level we want. The amount of "opening" is very accurately calculated by a specially designed computer programme during the planning of surgery that takes place before the osteotomy is carried out.
We have a very clever device that is like two chisels together that are connected by a screw and a thread that you can then dial to whatever amount of opening you want and you do that under X-ray control. This will confirm the amount of "opening" that has been achieved.
Once the gap is opened to the position that you want then put the spreaders in and undo the double chisel device and you have just got then a set of spreaders at the back of the osteotomy and you can put your plate on then and there is nothing in the way. We leave the spreaders in position until the osteotomy plate is securely fixed to the bone.The image above on the right is of an opening wedge high tibial osteotomy and is reproduced with permission of Synthes.

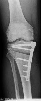
A closing wedge osteotomy is where the bone is cut twice and the wedge removed. The image on the right is that of a closing wedge osteotomy and is reproduced with the permission of Synthes.
The closing wedge is still worldwide the most commonly performed high tibial osteotomy (HTO). At Basingstoke hospital we are lucky enough to have highly sophisticated digital osteotomy software at our disposal, enabling us to calculate our osteotomy correction very accurately. Most surgical centres worldwide to do not have this technology and therefore it is more straightforward for them to carry out a closing wedge osteotomy, the calculation of which is based on a single long leg X-ray that is taken in one plane. On that X-ray you have the hip, the knee and the ankle. The surgeon can then draw a series of lines thereby working out the correction angle. This calculation is done by hand (it is called the Miniaci technique) and may not be as accurate as those devised through specialised digital software. This is however how most surgeons worldwide plan these kind of osteotomies (closing wedge osteotomies)
Once the surgeons have worked out how much of a correction is required and how many millimetres of bone they want to remove, they then carry out their closing wedge osteotomy. The reason why this technique is not quite as popular as the opening wedge technique with a lot of the European surgeons, is that once you have cut that slice of bone and removed it you can’t fine tune it. You often get a great result but if during the operation you think “Oh, I wish I had taken a bit more” or “I don’t think that is quite enough” you can’t go back and re-do it. You are stuck with that wedge of bone that you removed and there is no going back if you decide to correct it. With the opening wedge technique on the other hand you make a single cut and then you can open it as much or as little as you feel is necessary. The surgeon is also able to manipulate the tibial slope more easily. For instance, by opening the osteotomy more at the back than the front you flatten the slope, and by opening the osteotomy more at the front than the back you increase the slope. This is a lot more difficult to do with the closing wedge technique.
And that is why most of the European surgeons tend to use the opening technique on the tibia to correct medial knee problems in a varus knee, whereas in Australia and parts of America they would very much be using the closing wedge technique. In this technique, once the wedge of bone has been removed from the outer aspect at the top of the tibia, the gap that is left is closed by fixing the bone ends together with a plate and staples. Staple fixation is now old fashioned.
There are different ways of approaching this portion of the tibia– the joint between the tibia and the fibula needs to be disrupted to make it work. So the way I was taught to do this (by Dr Peter Myers in Brisbane) is a lovely approach where you come down onto that proximal joint between the tibia and the fibula, you open it up with a blade and then you just take the very front of the fibula off with an osteotome and disrupt that joint slightly. Thisgives you beautiful access to the back of the tibia. Another way of doing it, which has also got its advantages is to just remove a cm of bone from the fibula – we do that usually 3 or 4 cm below the neck of the fibula and we literally just chop out half a cm of fibula and that allows the fibula to be free such that your osteotomy will move. Then you just leave the fibula alone – there is no problem associated with disrupting that joint.
The common peroneal nerve is found in this part of the knee and may be at danger during the surgery. However, this nerve has a very well defined course. The surgeon must be familiar with its anatomy and when doing the osteotomy, the nerve must be found and protected. By doing that your chances of damaging the peroneal nerve are extremely small. In fact the surgeons I worked for in Brisbane, Dr Peter McMiniman and Dr Peter Myers carried out a series of 357 closing wedge high tibial osteotomies and didn't have one single case of common peroneal nerve problems. These patients have been followed up thoroughly and have just published very favourable 15 year results which were very favourable.