The loss of a normal range of knee motion following a knee injury or operation is a potentially devastating complication.
First published by Dr Noyes in 2008, and reviewed August 2023 by Dr Sheila Strover (Clinical Editor)
Preventing arthrofibrosis
Dr Frank R Noyes discusses those factors that can trigger arthrofibrosis in the knee, and how to prevent its onset.
First published by Dr Noyes in 2008, and reviewed August 2023 by Dr Sheila Strover (Clinical Editor)
Pain and restricted knee motion resulting from arthrofibrosis may lead to severe quadriceps atrophy, loss of patellar mobility, patellar tendon adaptive shortening, patella infera, and articular cartilage deterioration.
It has become evident that the prevention of knee arthrofibrosis is extremely important and preferred over using the currently available treatment options for this complication. In my practice, the combination of our rehabilitation program and the ability of our staff to detect an early limitation of knee motion have resulted in a < 1% occurrence of a permanent arthrofibrotic condition. Patients who are referred to our Center with arthrofibrosis typically have had poor rehabilitation (or even no formal physical therapy at all) that lead to this complication. It can be frustrating because we know that this complication can usually be avoided.
These include:
Let's look at some important issues:
Patients who sustain knee dislocations are at increased risk for developing motion complications and arthrofibrosis. In most cases, surgery is delayed with the limb immobilized in a posterior plaster splint or bi-valved cast for protection for a short period of time. Even in these severe knee injuries, it is possible to start immediate range of motion and prevent scar tissue formation that may compromise the outcome of a subsequent ligament reconstruction. For patients who elect immediate surgery, the reconstructive and repair procedures of torn ligaments, capsular structures, and menisci are performed in a manner that allows immediate knee motion to be done postoperatively.
Performing ACL and other knee ligament reconstructions within a few weeks of the injury or before the resolution of swelling, pain, quadriceps muscle atrophy, abnormal gait mechanics, and motion limitations has been noted by many researchers to increase the rate of postoperative knee motion problems. The only exception is when the knee is “locked” due to the injury, caused usually by a bucket-handle meniscus tear or an ACL tear where the ligament has flipped up into the intercondylar notch.
When to perform an ACL reconstruction is a clinical decision. We have to make sure that the patient has full motion, the swelling is gone, the effects of the acute injury are gone, and most importantly that there is a really good muscle contraction.
I think that if you ask, 90% of orthopaedic surgeons they would tell you that this takes at least 4-6 weeks after the injury.
Knee joint effusion and hemarthrosis are treated with appropriate non-steroidal anti-inflammatory medications, cryotherapy, compression, and limb elevation. Patients work with physical therapists to learn safe and effective muscle strengthening exercises (such as straight leg raises, bicycling, mini-squats, wall sits, calf raises, knee extensions from 90° to 30°, hamstring curls, and swimming), and must demonstrate good quadriceps control without an extensor lag before surgery is recommended.
The inflammatory response to the initial injury varies among patients. While some have little effusion and swelling, others have an exaggerated inflammatory response with pain, soft tissue edema, and redness and increased warmth in the tissues surrounding the knee. These patients are placed into a conservative treatment program to resolve these problems first and are also carefully monitored after the ACL reconstruction for a similar exaggerated inflammatory reaction postoperatively.
There are certain patients who sustain an ACL tear and they’ll hardly even notice it. They have minimal swelling and return of good return of muscle function within one to two weeks and some surgeons will say, correctly, that operating early will not pose any special problems. But you will note that they have fulfilled all the goals. And so it’s a clinical decision when those goals are met that surgery is now safe for the patient.


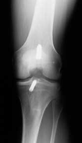
Improper placement of the ACL graft has been frequently cited as a cause of loss of knee motion. Grafts placed in what we call a “vertical orientation” as shown in the x-ray on the left can cause a limitation of knee motion. Unfortunately, if the limitation is severe and cannot be resolved with conservative rehabilitation measures, the graft has to be removed.
I place the ACL graft within the femoral and tibial footprint so that it occupies the central two-thirds or more of the footprint, to achieve an anatomic position (where the native ACL normally is found - see the x-ray on the right). To achieve this anatomic graft placement, sometimes a limited notchplasty is done to avoid a limitation of knee extension. I use the arthroscope to make sure that the graft position is exactly where I want it, and that there is no impingement of the graft against the lateral femoral condyle or notch when the knee is taken through the full range of motion on the operating table.
Knees that also have a tear to the medial collateral ligament (MCL) are at risk, as a concurrent MCL repair with an ACL reconstruction has been associated with an increased risk of knee arthrofibrosis. We recommended many years ago to treat the majority of combined ACL-MCL ruptures conservatively first to allow the MCL tear to heal, and then to reconstruct the ACL later.
[Noyes FR, Barber-Westin SD: Chapter 41: Prevention and treatment of knee arthrofibrosis. This article was published in Noyes’ Knee Disorders: Surgery, Rehabilitation, Clinical Outcomes, Noyes FR, Barber-Westin SD (eds.), pp. 1053-1095, Copyright Saunders, 2009.]
There is consensus among most surgeons that immobilization (casting) is harmful to all of the knee joint structures and may result in arthrofibrosis, prolonged muscle atrophy, patella infera, and articular cartilage deterioration. Early knee joint motion decreases pain and postoperative joint effusions, aids in the prevention of scar tissue formation and capsular contractions that can limit normal knee flexion and extension, decreases muscle disuse effects, maintains articular cartilage nutrition, and benefits the healing ACL graft.
Modern rehabilitation programs begin immediate knee motion and muscle strengthening exercises the day following surgery, both of which have been shown to be safe and not harmful to healing grafts. Importantly, the immediate motion program must include patellar mobilization to avoid an infrapatellar contracture as discussed below.
It is extremely important to prevent quadriceps inhibition. The surgeon should aspirate a joint effusion when it is believed to be causing quads inhibition. The knee is aspirated by syringe from a point 1 cm above and 1 cm lateral to the top lateral (outer) pole of the patella. This position avoids important structures and allows easy entrance into the joint space, which of course is expanded with the effusion (joint fluid) or haemarthrosis (blood). The procedure must be done by a doctor under sterile conditions and a sample of the fluid sent for culture.
Irritating blood in the joint (haemarthrosic) should be drained. There are two types of haemarthrosis – one is mild that follows surgery that has approximately 25 cc in the joint that does not need draining. The moderate haemarthrosis where you have 50 cc in the joint definitely needs draining because it will shut down the quadriceps and hamstrings – they will lose 30-40% of their strength.
We have found electrical muscle stimulation of the quadriceps to be helpful in those patients who are unable to initiate a satisfactory active contraction. Biofeedback is also a useful tool in the rehabilitation setting, as it helps the patient to see the force of the muscle contraction during exercises such as isometrics.
One also needs to control pain and inflammation by using the RICE regime, NSAIDs, and adequate analgesia.

Patients should be taught to do patellar mobilizations themselves as a part of routine postoperative rehabilitation. Side-to-side and up-and-down patellar mobilization should be done 4-6 times a day for 8 weeks after surgery. Patellar mobility should be assessed on a weekly basis by the physician and physiotherapist.
[Noyes FR, Barber-Westin SD: Chapter 41: Prevention and treatment of knee arthrofibrosis. This article was published in Noyes’ Knee Disorders: Surgery, Rehabilitation, Clinical Outcomes, Noyes FR, Barber-Westin SD (eds.), pp. 1053-1095, Copyright Saunders, 2009.]
Patient compliance with the postoperative rehabilitation program is essential to recover full knee motion and function. In my experience, the small percentage of patients who have permanent restrictions in extension or flexion have often been unwilling to perform the required motion, strengthening, and patellar mobilization exercises postoperatively. In addition, in instances where an early postoperative limitation of motion has been recognized, these patients are also unwilling to undergo treatment recommendations such as overpressure exercises, extension casts, and other modalities that are usually effective in resolving these problems. Thus, in a majority of cases, the inflammatory and fibrotic response that follows surgery and initially limits knee motion is treatable if no delay occurs in instituting a gentle motion and overpressure program along with appropriate anti-inflammatory medications. There is a distinct group of patients, probably in the range of 1-2%, that demonstrate a pathologic exaggerated fibrous tissue proliferative response from a genetic basis, in which the treatment is prolonged and may not be successful.
Infection may result in loss of knee motion following ACL reconstruction. The rule I follow is to always consider first that an exaggerated inflammatory response with joint swelling, synovitis, and early limitation of joint motion is caused by a joint infection until proved otherwise. Even when an infectious process appears to have been excluded, a knee joint that does not respond to the gentle modalities to regain knee motion, or that has continued pain or lack of patellar mobility, should undergo repeat aspiration, cell count, culture, and diagnostic studies.
Some of the most severe cases of arthrofibrosis referred to my practice that were initially believed to have occurred due to a genetic basis were subsequently proven to have an unrecognized infection.
The goal is to achieve 0° to 90° of knee motion by the 7th postoperative day. Patients who are unable to achieve this amount of extension and flexion are immediately placed into an overpressure motion program. When begun this early, these exercises usually resolve the knee motion problems:

One effective exercise for a limitation of knee extension involves hanging weights (image on left), where the foot and ankle are propped on a towel or other device to elevate the hamstrings and gastrocnemius that allows the knee to drop into full extension.

This position is maintained for 10 to 15 minutes and repeated at least 8 times per day. Initially a 10-pound weight is used which may be progressed up to 25 pounds to the distal thigh and knee to provide overpressure to stretch the posterior contracted tissues. Full knee extension is usually obtained by the 2nd to 3rd postoperative week. The option also exists to use a commercial extension appliance (image on right).
[Noyes FR, Barber-Westin SD: Chapter 41: Prevention and treatment of knee arthrofibrosis. This article was published in Noyes’ Knee Disorders: Surgery, Rehabilitation, Clinical Outcomes, Noyes FR, Barber-Westin SD (eds.), pp. 1053-1095, Copyright Saunders, 2009.]

If these treatment measures are not effective, a drop-out (bi-valved) cast (Figure on left) is used for continuous extension overpressure. The advantage of this technique is that the patient is in control of the process and can apply or delete wedge material as tolerated and may bath. Casting is not recommended in knees that have greater than a -12° extension deficit with a hard block to terminal extension. Extension casts are also not effective when there is proliferative ingrowth of fibrous tissue in the femoral notch. These cases require arthroscopic debridement.
It is rare that manipulation or continuous epidural is necessary when this program is followed; however, these steps are provided for the most resistant cases. The most difficult problem is the knee joint that does not respond and despite the overpressure program, continuous to show a lack of full extension and a rigid hard block. In these knees, it is better to proceed with a posterior capsulotomy through a limited medial and lateral approach described in part 8 of this course.
If the patient has not achieved at least 90° of flexion by the 7th postoperative day, there are several flexion overpressure exercises which are safe and effective. The goal of these exercises and modalities is to gradually and passively stretch tissues in a controlled manner, while not inducing pain or tearing of tissues.

[Noyes FR, Barber-Westin SD: Chapter 41: Prevention and treatment of knee arthrofibrosis. This article was published in Noyes’ Knee Disorders: Surgery, Rehabilitation, Clinical Outcomes, Noyes FR, Barber-Westin SD (eds.), pp. 1053-1095, Copyright Saunders, 2009.]
A rolling stool exercise (Fig A) may be done where the patient sits on a small stool close to the ground, the knee is flexed to the maximum position possible and held in that position for approximately 1 minute or as long as the patient is able to tolerate mild discomfort. Then, the patient rolls the stool forward without moving the foot position on the floor to achieve a few more degrees of flexion. The procedure is performed for 10-12 minutes and repeated 6 to 8 times a day.
Wall slides are another effective exercise to achieve flexion. The patient lies on their back and places the foot of the reconstructed knee on a wall as shown in Fig B. The foot of the opposite leg is used to gently slide the opposite foot and flex the reconstructed knee in a gradual manner.
Commercial knee flexion devices (Fig C, D) may also be used as available to further promote overpressure.
A figure-four overpressure exercise is also effective (Fig E). A 4-inch tubular stocking is used, double-wrapped around the foot and ankle that allows the patient under their own power to flex the knee.
Patients who have difficulty achieving 90° by the 3 to 4th week require a gentle ranging of the knee under anesthesia (not a forceful manipulation) where full flexion is easily obtained with only light loads applied. This stretches out early joint adhesions, markedly reduces postoperative pain, and allows the patient to regain motion.
If an associated peripatellar contracture is present, it is important that the condition be immediately treated as this can result in a patella infera. If we are concerned about this, we order serial lateral X-rays at 60 degrees of flexion (both knees) to monitor whether or not there is progressive downward descent of the patella as discussed in Part 10 of this course.
The presence of dense resistant scar requires arthroscopic debridement. An aggressive manipulation under higher forces risks damaging the surface of the kneecap, as the tight contracted tissues increase patellofemoral contact forces with knee flexion. Knee flexion is gained, but at the expense of possibly damaging the patellofemoral joint. This is also true for pushing knee flexion in the clinic when there is no patellar mobility. Again, an operative release of tight contracture peripatellar tissues is indicated instead of overzealous flexion exercises or a knee manipulation with high flexion loads.
END OF COURSE