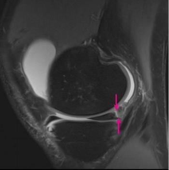
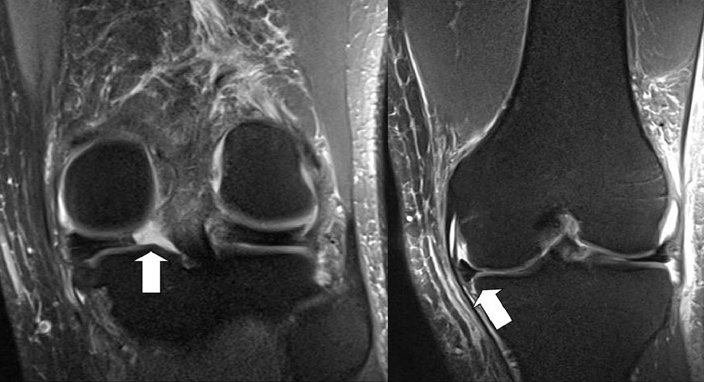
MRI is an abbreviation for Magnetic Resonance Imaging and it is a non-invasive method of visualising the anatomy of the body.
If you have a knee problem, in most situations I believe it will be helpful for you to have such an MRI scan of your knee - to make or support a diagnosis or to exclude other reasons for your problem. MRI scans are particularly useful in the evaluation of meniscus tears, and tears of the anterior cruciate ligament (ACL) and other ligaments. If your main problem is knee pain I believe you should in most circumstances as part of the investigation have an MRI scan of the knee, and indeed I feel you should not have an arthroscopy unless you have had an MRI evaluation. The price has declined considerably over recent years, making MRI a much more affordable aid to diagnosis, and today a knee MRI is close to 400 euros in Denmark (where I practice).




