Under favourable conditions unloading a damaged meniscus is an option for relieving meniscus pain.
First published in 2011, and reviewed August 2023 by Dr Sheila Strover (Clinical Editor)
Unloading a painful meniscus-deficient knee
Under favourable conditions unloading a damaged meniscus is an option for relieving meniscus pain.
First published in 2011, and reviewed August 2023 by Dr Sheila Strover (Clinical Editor)

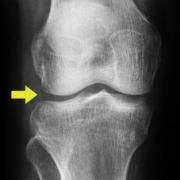
When one looks at an X-ray of the knee from the front, the normal knee shows an apparent gap between the long bones of femur and tibia. In fact this gap is filled by the menisci - but because they are radiolucent the X-ray 'does not see them' and the gap just looks empty.
When the meniscus has been surgically removed on one side, the gap remains apparent for some time because the ligaments around the knee are still taut and the alignment of the bones still straight in relation to one another. Over time, however, some of the ligaments start to stretch, initially allowing the joint to thrust to the one side as weight is taken on the limb. As most meniscectomies are medial, the lack of the meniscus on the medial side means that the limb thrusts out to the outer side with each step - what we call a varus thrust. Eventually, the ligaments stretch more, and the limb remains in a bow-legged (varus) position even after the weight is removed from that side. If it was the lateral meniscus that was removed then the thrust would be in the other direction, towards knock-knees - what we call a valgus thrust.
Before such bow-leggedness or knock-knees are apparent, the astute radiologist usually picks up the fact that the gap in a weight-bearing X-ray is diminished on the relevant side, and this gives a good indication that the knee is moving into a danger zone where joint cartilage breakdown might result and arthritis ensue. In that case, the surgeon may contemplate osteotomy surgery to unload the joint on that side, or meniscus replacement to try to restore the original anatomy.
The alteration of forces going through the knee can be painful. While waiting for a more definitive solution, patients may greatly benefit from unloading the joint with a special unloader brace that shifts the weight over to the good side with each step, thus avoiding or minimising varus thrust.
Osteotomy surgeons take long-leg weight-bearing X-rays and feed the information into a digital planning application, so that they can measure the subtleties of limb alignment and plan the correction on the app before committing to surgery.
The calculations will indicate whether alignment correction needs to be in the upper tibia, the lower femur or both, and the amount of correction required, so that the surgeon can commit to the correct operation.
The Meniscus-Deficient Knee. Biomechanics, Evaluation, and Treatment Options.Rao AJ, Erickson BJ, Cvetanovich GL, Yanke AB, Bach BR, Jr, and Cole BJ. Orthop J Sports Med. 2015 Oct; 3(10): 2325967115611386.

Osteotomy entails cutting into the bone, and either opening up a wedge-shaped gap and fixing it in the new position, or removing a wedge of bone and again fixing the position with a plate and screws. The common osteotomy for a varus problem is called a high tibial osteotomy.
Here you can see a guide wire, the cut in the bone (paler than the bone) which is being wedged the correct amount using a laminar spreader which holds it in place until the plate and screws are in place. Bone graft can be used to fill the gap, or it can be left to grow new bone by itself (which makes the rehabilitation a bit longer).
Modern specialist surgeons who have skills in both osteotomy and meniscus replacement may combine the two procedures, offering the new meniscus some protection while the patient heals and rehabilitates.
Cartilage Repair With or Without Meniscal Transplantation and Osteotomy for Lateral Compartment Chondral Defects of the Knee.Harris JD, Hussey K, Saltzman BM, McCormick FM, Wilson H, Abrams GD and Cole BJ, MD, MBA‡. Orthop J Sports Med. 2014 Oct; 2(10): 2325967114551528.