
Knee thrusts to the outer side with each step.

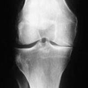
Joint line gap closed on medial side following medial meniscectomy.
A varus thrust is when the knee joint thrusts to the outer aspect with each step, as weight is taken on that leg.

Knee thrusts to the outer side with each step.

Joint line gap closed on medial side following medial meniscectomy.
A varus thrust is the result of a meniscectomy on the medial side, closing the X-ray gap that normally exists because of the radiolucent meniscus that normally fills the gap. Eventually the ligaments can stretch and bow-leggedness becomes permanent rather than only occuring on weight-bearing.