X-rays should reveal any bony damage to the knee, but often soft tissue damage can be inferred from the bony information.
First published by knee surgeon Adrian Wilson in 2010, and reviewed August 2023 by Dr Sheila Strover (Clinical Editor)
X-rays after an acute knee injury
X-rays should reveal any bony damage to the knee, but often soft tissue damage can be inferred from the bony information.
First published by knee surgeon Adrian Wilson in 2010, and reviewed August 2023 by Dr Sheila Strover (Clinical Editor)
The main thing X-ray will pick up is a fracture, but it will also pick up subtle abnormalities – say if you have got a major ligament problem you will see an increased space on the side where the ligament is ruptured – the gap will be too big and it won’t be symmetrical with the other side as it should be.
There are certain other things that the X-ray will pick up, such as –

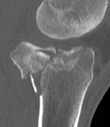
any obvious breaks, and the things we are looking for here include patellar fracture (X-ray on left shows the patella broken in two), tibial plateau fracture (X-ray on the right shows the tibial plateau shattered into bits), osteochondral injury (small flake of bone knocked off) or perhaps even a Hoffa’s fracture which is an eponymous name which is used for a fracture which occurs at the back of the femur where part of the articular surface (joint surface) and bone break free.Plateau fractures and fractures in general are thus picked up by the X-rays but you do need to get a full series of four X-rays – an AP view, a lateral view, a skyline view, a Rosenberg or Schluss view which is the tunnel view and which shows the osteochondral injury. Someone senior needs to look at the X-rays as the signs may be subtle and easily missed.
So in summary, for the acutely swollen knee best practice is for that patient is to rule out fracture, to rule out major collateral injury, to rule out a locked knee and to rule out in a child that they have pulled off their anterior tibial spine. Once you have ruled all those things out you can take a breath and the patient can be managed in a brace and the surgeon can see them at three or four weeks when it is a lot easier to examine the knee fully as it will be a lot less swollen and a lot less painful. If the knee is settling it would be reasonable to send the patient for physiotherapy and perhaps see them for a final check a month after just to make sure that they are getting back to normal activity. If at the three or four week stage the patient is not settling it is highly likely that they are going to need to have something done and that would be the main indication for getting an MRI scan - we are living in a healthcare system with limited resources – and we can’t scan everyone.
The patient would be reviewed with the scan and plans would be made according to what the scan shows when it has been put together with the clinical examination. Generally speak you would be very aggressive with anterior cruciate ligament ruptures in young sporty people, and we would advise reconstruction. Anyone with a significant symptomatic meniscal tear we would recommend surgical repair if possible. Posterior cruciate ligament injuries we tend to be relatively conservative with, even with isolated grade III injuries they do rehab well and the patient can often get back to a good level of activity without intervention. Major collateral injury on the medial side is often saved by the bracing, and on the lateral side needs to be picked up urgently and that is where we would jump in with an acute repair. For the patellar dislocators, which I covered in a previous section, obviously they can present with an acutely swollen knee and the clinical diagnosis is usually pretty easy because the kneecap is often stuck to the side of the lateral side of the leg. They need plenty of analgesia to allow the knee to be reduced – all you need to do is put the leg out straight and the patella will then re-locate. They are exquisitely tender medially and the diagnosis is easy to make. These patients need as little immobilisation as possible and they need to go off to the physiotherapists and start strengthening their quads and rehabbing as soon as possible.