
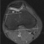
This patient's trochlear inclination angle is 22 degrees, which is in the normal range.

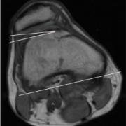
In this patient, the angle is less than 11 degrees, and thus the wall of the trochlea is considered to be dysplastic, or flatter than normal.
The lateral trochlear inclination angle quantifies the degree of any trochlear dysplasia or flattening of the groove of the femur where the patella runs. Page updated October 2023 by Dr Sheila Strover (Clinical Editor)

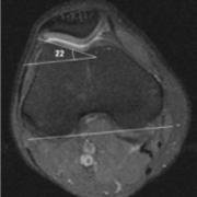
This patient's trochlear inclination angle is 22 degrees, which is in the normal range.

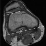
In this patient, the angle is less than 11 degrees, and thus the wall of the trochlea is considered to be dysplastic, or flatter than normal.
The LTI is an MRI calculation of the angle between the lateral edge of the femoral notch and the posterior edge of the femur at the level of the femoral epicondyles.
To measure the angle, one draws the line along of the wall of the trochlear groove underneath the cartilage layer. Then a line is drawn at the back of the two condyles - from it a parallel line can be extrapolated to meet the first one, to make it easier to see the angle.
If the LTI is 20-22 degrees the slope of the wall of the trochlea is considered normal. However, if it is below 11 degrees it is considered dysplastic. For some severely affected people it can be even zero or less. A flattened dysplastic trochlea makes it easier for a patella to sublux or to dislocate, and thus this angle is important to calculate when assessing the causes of such patellar instability.
Citation: Joseph SM, Cheng C, Solomito MJ, Pace JL. Lateral Trochlear Inclination Angle: Measurement via a 2-Image Technique to Reliably Characterize and Quantify Trochlear Dysplasia. Orthop J Sports Med. 2020 Oct 8;8(10):2325967120958415. doi: 10.1177/2325967120958415. PMID: 33102608; PMCID: PMC7551490.
Quote: