How kneecap fractures occur
Kneecap (or patellar) fractures are not uncommon, but are very disablling when they occur as the kneecap is an integral part of the muscle-tendon-bone mechanism that straightens the knee (the extensor mechanism).
Kneecap are usually traumatic either from a direct impact, such as a fall on the knee, or from excessive extension force, such as in a weightlifter lifting a very heavy weight, or a fall onto the feet from a height, when the quads muscle rips the patella across its middle.
Peer-reviewed paperQuote from peer-reviewed paper:
"Direct trauma results in stellate fractures...Indirect trauma results in transverse fractures...The fracture pattern is not determined solely by the mechanism of injury, but also depends on factors such as patient age, bone quality, and degree of knee flexion"
Citation: Jarraya M, Diaz LE, Arndt WF, Roemer FW, Guermazi A. Imaging of patellar fractures. Insights Imaging. 2017 Feb;8(1):49-57. doi: 10.1007/s13244-016-0535-0. Epub 2016 Nov 30. PMID: 27905071; PMCID: PMC5265199.
How patellar fractures are managed
The management of a patellar fracture will depend upon whether the break is simple or comminuted (shattered), and how much distraction there is between the bones at the break.
If there is little to no distraction, then the leg can be immobilised for some weeks until the bone bits heal together. If there is too much distraction or comminution, then cerclage wires are used to pull the bits together and again the limb is immobilised for some weeks.
Management may be complicated by infection if the skin has been broken over the patella, and the surgeon may delay surgery until any danger of infection has passed.
Peer-reviewed paperQuote From peer-reviewed paper:
"For non-displaced and dislocated non-comminuted transverse patellar fractures....modified anterior tension band wiring is the treatment of choice and can be combined....with cannulated screw fixation....In severe comminuted fractures, open reduction and fixation with small fragment screws or new angular stable plates ....results in best outcome"
Citation: Gwinner C, Märdian S, Schwabe P, Schaser KD, Krapohl BD, Jung TM. Current concepts review: Fractures of the patella. GMS Interdiscip Plast Reconstr Surg DGPW. 2016 Jan 18;5:Doc01. doi: 10.3205/iprs000080. PMID: 26816667; PMCID: PMC4717300.
Consequences of a fractured patella
Stiffness is a common consequence of patellar fracture.
Adhesions may form in the anterior interval and in the gutters to the side of the patella. In the early stages these adhesions may be broken with patellar mobilisation exercises and perhaps later with a manipulation under anaesthesia (MUA), but if they mature into scar tissue (arthrofibrosis) then this is much more of a problem and the surgeon may have to do a lysis of adhesions procedure.
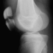
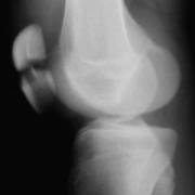
Quick linksBipartite patella
This is just a 'heads up!' - sometimes when someone has banged their knee the X-ray will show what appears to be a fracture, but in fact it is a developmental anomaly called a 'bipartite' patella.
This is because in the embryo the patella is made up of separate pieces that join together, and sometimes they do not properly fuse. The doctor will have to make the decision about whether it is a true fracture or simply a bipartite patella which needs no treatment.
Forum discussions
- Fracture of Patella
- Patella Fracturers; success with stairs ? walking ?
- removal of hardware (patella)
Brief discussion about wire removal after patellar fracture.
- Things we should not do after patella fracture
Serious discussion about how to rehab without risking the fracture reduction.
- Fractured Patella recovery time
A long discussion about the trials and tribulations of rehab after a fractured patella.
