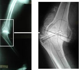
The lives of some elderly people are rendered miserable by progressive bow-leg deformity brought on by arthritic destruction of both knee joints.
Total knee replacement offers a chance for a return to a near normal life, but can be demanding on the surgeon when the condition has been allowed to progress to extremes.






