
The Unloader One brace is made by the company Ossur. The brace should be fitted by someone trained to do so.

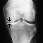
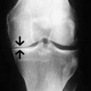
Unloading protects the vulnerable joint cartilage on that side of the knee joint. Once unloaded, the collapsed joint space should open up as weight is taken on that side.