

Posterior tibial slope exists when the top of the tibia slopes downward towards the back of the knee. A few degrees of posterior slope is normal. Page updated May 2024 by Dr Sheila Strover (Clinical Editor)


An abnormal degree of slope may make the ACL more prone to injury.
Quick linksQuote from peer-reviewed paper:
Citation: Senişik S, Ozgürbüz C, Ergün M, Yüksel O, Taskiran E, Işlegen C, Ertat A. Posterior tibial slope as a risk factor for anterior cruciate ligament rupture in soccer players. J Sports Sci Med. 2011 Dec 1;10(4):763-7. PMID: 24149571; PMCID: PMC3761495.
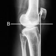
Then a line is drawn perpendicular to the anterior tibial cortex line (B). Finally a line is drawn along the top of the tibial plateau (C), and the angle of the posterior tibial slope is the angle formed by B and C.