
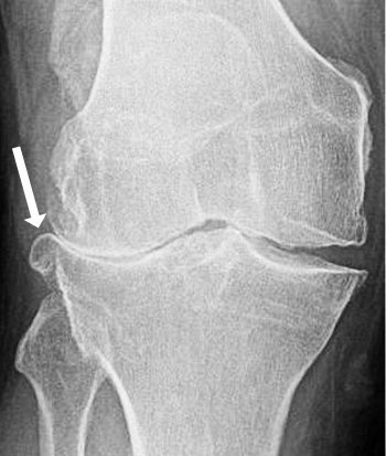
X-ray image of bone spur in an osteoarthritic knee. Note the closure of the joint space on that side, implying destruction of the joint cartilage and/or meniscus.
Bone spurs (or osteophytes) are small, irregular bony outgrowths from the edges of a joint surface. Page updated February 2024 by Dr Sheila Strover (Clinical Editor)

X-ray image of bone spur in an osteoarthritic knee. Note the closure of the joint space on that side, implying destruction of the joint cartilage and/or meniscus.
Bone spurs occur in response to joint surface damage, where the body tries ineffectually to heal the damage by absorbing bone from some areas, leaving holes or cysts, and then heaping it up in other areas, making bone spurs or osteophytes.
Small spurs are seldom a problem - rather they are just an X-ray indicator that there is an arthritic process going on inside the knee. But if the bone spurs do become large and symptomatic, they can be abraded away using a rotating burr (by arthroscopic abrasion or abrasion arthroplasty).
A bone spur was causing all this discomfort.
Quote:
Citation: Lespasio MJ, Piuzzi NS, Husni ME, Muschler GF, Guarino A, Mont MA. Knee Osteoarthritis: A Primer. Perm J. 2017;21:16-183. doi: 10.7812/TPP/16-183. PMID: 29035179; PMCID: PMC5638628.