
In a total knee replacement, the whole of the ends of the femur and tibia are usually removed, and replaced with metal and plastic. The articulating side of the patella may also be replaced.
An arthroplasty is a joint joint replacement, such as a total or partial knee replacement. Page updated July 2024 by Dr Sheila Strover (Clinical Editor)

In a total knee replacement, the whole of the ends of the femur and tibia are usually removed, and replaced with metal and plastic. The articulating side of the patella may also be replaced.
By removing the damaged ends of the bone and replacing them with artificial materials the arthritic pain can be greatly reduced together with most deformity from the arthritic process.
The word 'arthro-plasty' means joint re-shaping, so the term includes all extents of knee replacement -
These include the two tibio-femoral compartments and the patello-femoral compartment.
A total knee replacement replaces the whole articulation of femur and tibia - both sides - and very often the patella also. A partial knee replacement is indicated when the joint destruction affects only part of the joint. So, for example, the replacement may be of just one of the condyles of the femur and the part of the tibia it articulates with.

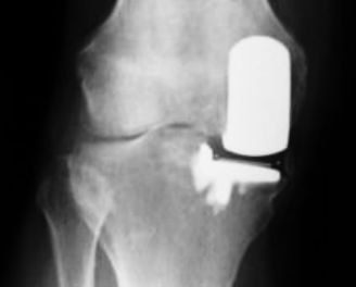
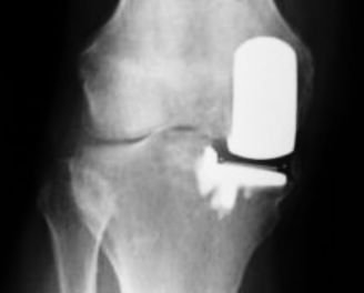
This is an example of a partial arthroplasty, where only one side of the knee joint has been replaced.
Quick linksMuscle weakness and contraction may delay recovery. Usually patients are encouraged to bear weight very early, but full recovery may take many months.
When it comes to age, it is not so much actual age but biological age that affects decision-making. The key issue is that the artificial materials are subject to wear and tear, and most joint replacements only last for a decade or so and have to be replaced. So the surgeon avoids doing this procedure in the younger patient to avoid revision surgery.
Peer-reviewed papersQuote from peer-reviewed paper:
Citation: Choi YJ, Ra HJ. Patient Satisfaction after Total Knee Arthroplasty. Knee Surg Relat Res. 2016 Mar;28(1):1-15. doi: 10.5792/ksrr.2016.28.1.1. Epub 2016 Feb 29. PMID: 26955608; PMCID: PMC4779800.
This will relieve the pain and may give the patient many years before an arthroplasty becomes necessary.
Quick linksBoard packed with discussions about total knee replacement.
Board focusing on unicompartmental knee replacement.